بحث
بحث
بحث
English
920006500
info@joeleclinics.com
الرئيسية
عن جويل
قصتنا
الأسئلة الشائعة
الشروط والاحكام
الوظائف
الخدمات
خدمات الجلدية
خدمات الأسنان
كادرنا الطبي
جميع الأطباء
حالات قبل وبعد
المدونة الطبية
الجلدية
الأسنان
ستديو جويل
الجلدية
الأسنان
اتصل بنا
الفروع
قيم تجربتك
تواصل معنا
آخر العروض
إحجز الآن
حالات قبل وبعد
الرئيسية
حالات قبل وبعد
حالات قبل وبعد
-- اختر --
فرع ينبع
فرع الروضة
فرع الحمراء
حالات قبل وبعد
الجلدية
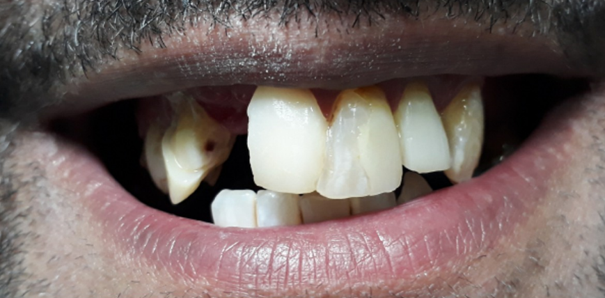
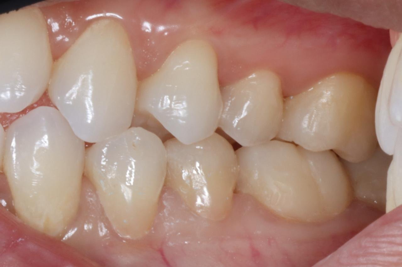
الأسنان
د. أيهم العويدات
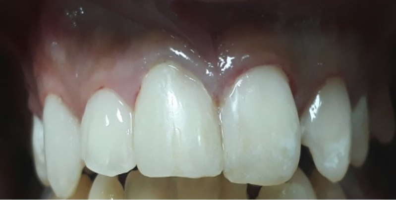
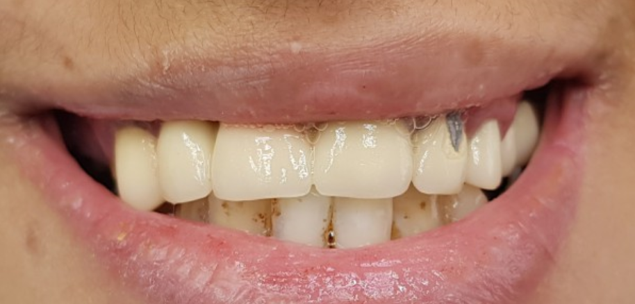
الأسنان
د. أيهم العويدات
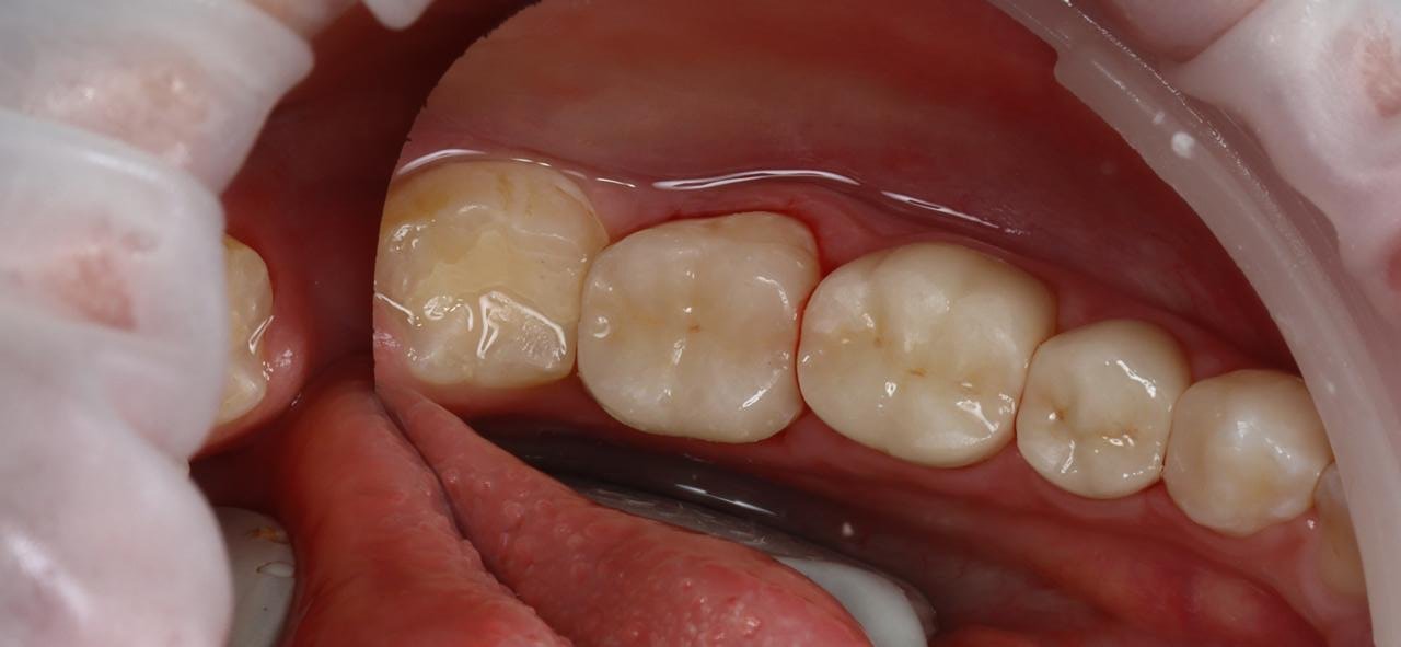
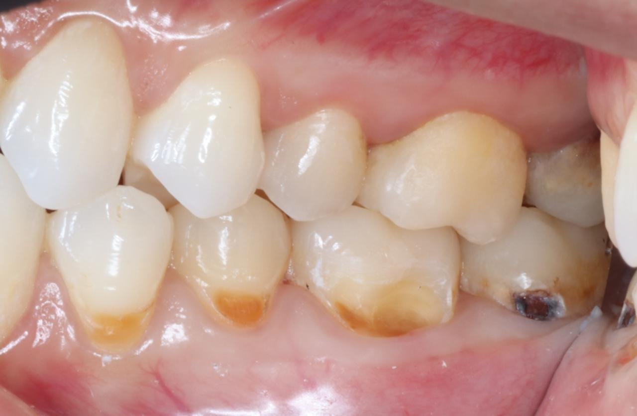
الأسنان
د. أيهم العويدات
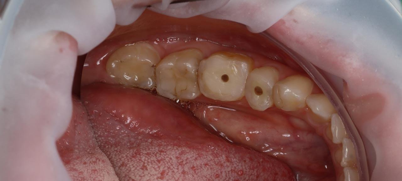
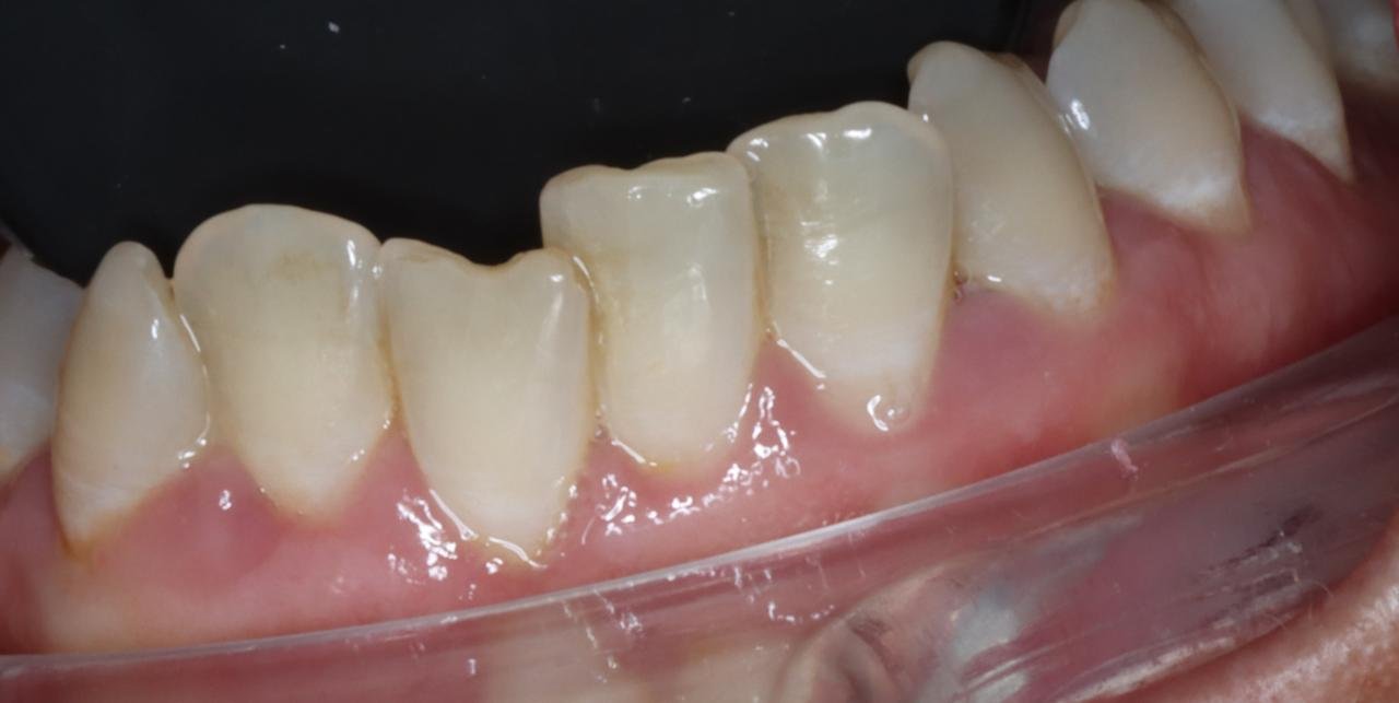
الأسنان
د. أيهم العويدات
الأسنان
د. أيهم العويدات
الأسنان
د. أيهم العويدات
الأسنان
د. أيهم العويدات
الأسنان
شوق النجار
الأسنان
1
2
3
4
5
6
7
8
9
10
...
18
19
التالي
إحجز الآن